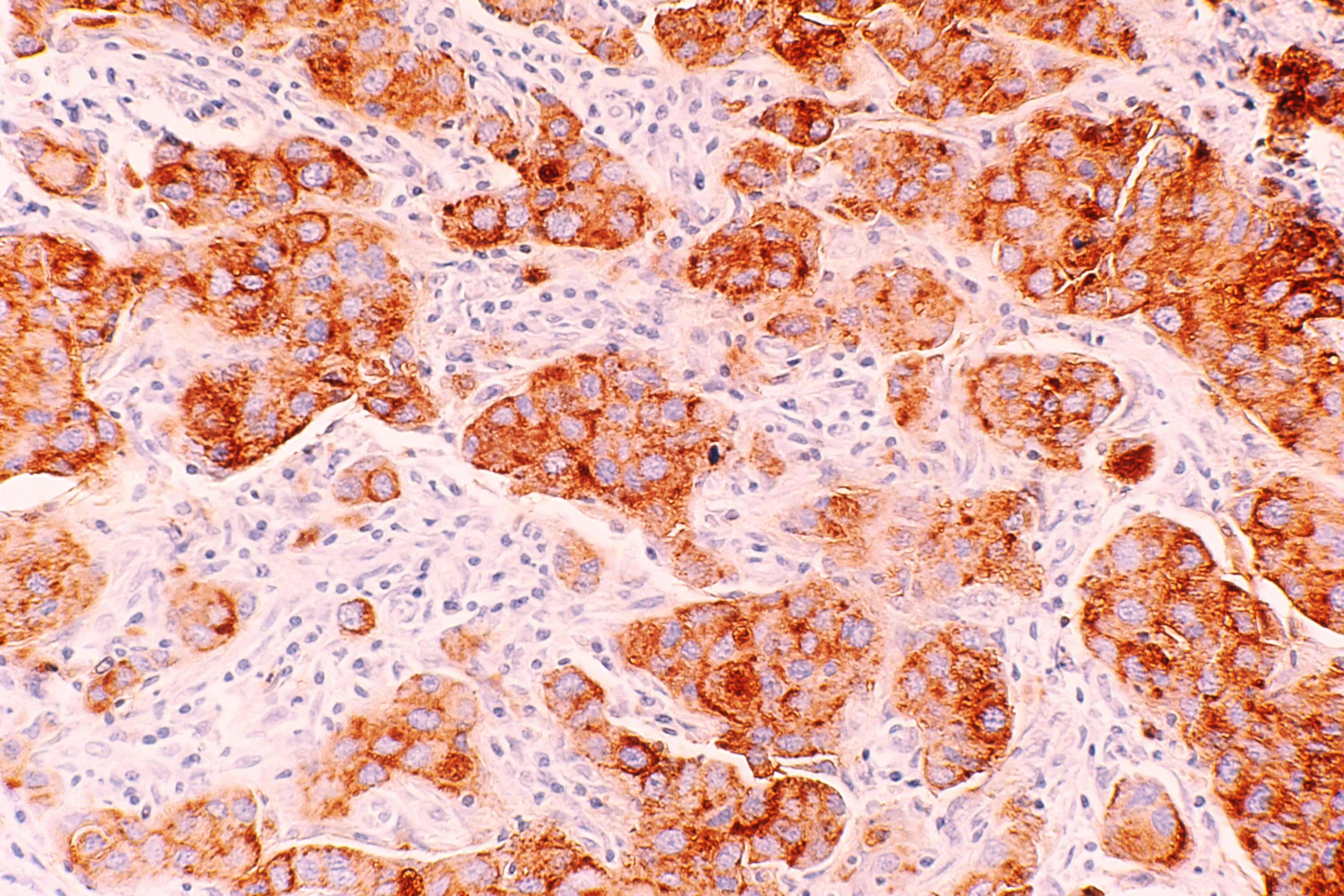
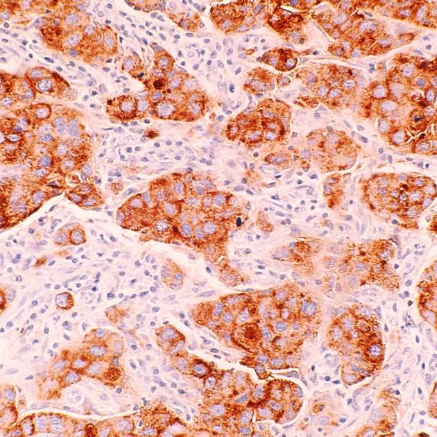
El risc de patir un càncer de mama gairebé es duplica en dones diagnosticades amb malaltia mamària benigna a través de proves de detecció, segons una investigació presentada per la doctora Marta Román de l'Hospital del Mar al Congrés Europeu de Càncer de Mama de Barcelona. En la investigació s'han inclòs més de 700.000 dones de tot l'Estat espanyol que van participar en un cribratge mamari i es va comparar a les que havien estat diagnosticades amb una malaltia mamaria  benigna, inclosos fibroadenomes i quists, amb aquelles que no havien tingut cap diagnòstic d'aquest tipus. 

Les dades van mostrar que de les dones amb aquestes malalties mamàries benignes, al voltant de 25 de cada 1.000 van ser diagnosticades posteriorment amb càncer de mama. Entre les dones sense malaltia mamaria benigna, al voltant de 15 de cada 1.000 van acabar patint càncer de mama. El major risc es va trobar en dones amb malaltia mamària benigna independentment de la seva edat i el risc va persistir durant almenys 20 anys. Les dones seguides durant menys de quatre anys tenien un 99% més de probabilitats de rebre un diagnòstic de càncer de mama i les dones amb un seguiment de 12 a 20 anys tenien un 96% més de probabilitats de rebre aquest diagnòstic.

Els investigadors que han participat en l'estudi han afirmat que  les persones amb aquest risc podrien beneficiar-se d'exàmens de detecció més freqüents per garantir que les que desenvolupen càncer siguin diagnosticades prematurament, quan les possibilitats de supervivència són millors.

Una possible epidèmia de càncer a Europa

La pandèmia de la covid, el Brexit i la invasió d'Ucraïna ha creat un efecte dominó que ha impactat sobre els sistemes sanitaris de tot Europa. En especial, en la recerca i tractament del càncer. Tot aquest factor inclinen al continent a patir una epidèmia de càncer en la dècada que ve si no s'inverteix més, segons un estudi publicat a la revista científica The Lancet Oncology.

El text apunta que si les limitacions actuals no s'adrecen amb urgència els avenços en la lluita contra el càncer s'endarrerirà una dècada. "Ens preocupa que Europa es dirigeixi cap a una epidèmia de càncer la dècada que ve si no es prioritzen urgentment els sistemes sanitaris i la investigació sobre el càncer", ha afirma el professor Mark Lawler, autor principal de l'informe. "és més important que mai que Europa desenvolupi un panorama de recerca del càncer resistent per tenir un paper transformador en la millora de la prevenció, el diagnòstic, el tractament i la qualitat de vida dels pacients actuals i futurs", ha sentenciat Lawler.