La próstata es una pequeña glándula ubicada debajo de la vejiga de los hombres y forma parte del sistema reproductivo. Se calcula que, aproximadamente, uno de cada siete hombres será diagnosticado con un cáncer de próstata a lo largo de su vida, especialmente en los últimos años. La parte positiva es que es uno de los que tienen la tasa de curación más alta.

Como todos los tipos de cáncer, la causa exacta del de próstata no es fácil de determinar. En muchos casos, pueden estar involucrados múltiples factores, incluida la genética y la exposición a toxinas ambientales, como ciertas sustancias químicas o radiación. También, las mutaciones en el ADN o el material genético pueden producir el crecimiento de células cancerosas. Estas mutaciones hacen que las células de la próstata comiencen a crecer de manera incontrolable y anormal. Las células anormales o cancerosas continúan creciendo y dividiéndose hasta que se desarrolla un tumor.

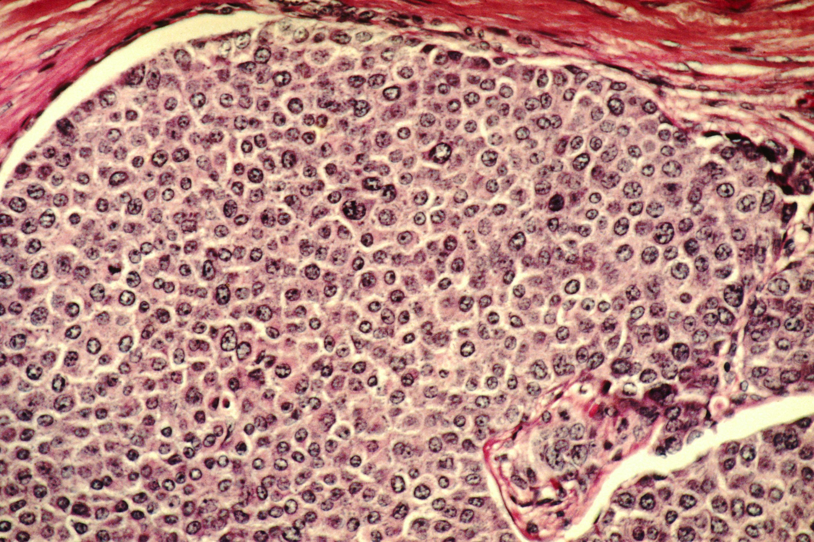
Cáncer de prostata: células cancerígenasEl cáncer de próstata puede ser motivado por diversas causas

Estos son los cinco factores más importantes:

Historial familiar

En algunos casos, las mutaciones que conducen al cáncer de próstata se heredan. Una persona con antecedentes familiares de cáncer de próstata, tiene un mayor riesgo de desarrollar la enfermedad. Se estima que, aproximadamente, del 5 al 10 por ciento de los casos de cáncer de próstata son causados ​​por mutaciones hereditarias. Generalmente se producen en varios genes diferentes, que incluyen: RNASEL, anteriormente conocido como HPCI BRCA1 y BRCA2, que también se han relacionado con el cáncer de mama y ovario en mujeres MSH2, MLH1 y otros genes de reparación de desajustes de ADN HOXB13.

Edad

Uno de los mayores factores de riesgo del cáncer de próstata es la edad, por eso rara vez afecta a los hombres jóvenes. La mayoría de los casos se diagnostican en hombres mayores de 65 años. En menores de 40, la incidencia es de 1 de cada 10.000 hombres. Entre los 40 y 59, crece a 1 de cada 38 hombres y entre los 60 y 69 hasta 1 de cada 14, lo que pone de manifiesto su progresión.

Etnia

Aunque las razones no se comprenden completamente, los datos demuestran que el origen étnico es un factor de riesgo para el cáncer de próstata. En Estados Unidos, donde existe una gran diversidad racial, los hombres asiático-americanos y latinos tienen la menor incidencia. En contraste, los hombres afroamericanos tienen más probabilidades de desarrollar la enfermedad que los demás. También es más probable que se les diagnostique en una etapa posterior y que tengan un mal pronóstico. Tienen el doble de probabilidades de morir de cáncer de próstata que los hombres caucásicos.

Dieta

Una dieta rica en carnes rojas y productos lácteos ricos en grasas también puede ser un factor de riesgo para el cáncer de próstata. Lo mismo ocurre con el alto consumo de leche con alto contenido de grasa.

Carne rojaLas carnes rojas son uno de los alimentos que se cree que más perjudica a la hora de prevenir el cáncer de próstata

Localización geográfica

El lugar donde se vive también puede afectar al riesgo de desarrollar cáncer de próstata. El cáncer de próstata es más común en América del Norte, el Caribe, el noroeste de Europa y Australia que en Asia, África, América Central y América del Sur. Los factores ambientales y culturales pueden influir. Los hombres que viven al norte de los 40 grados de latitud tienen un mayor riesgo de morir de cáncer de próstata que los que viven más al sur. Esto puede explicarse por una reducción en los niveles de luz solar y, por lo tanto, de vitamina D, pues existe cierta evidencia de que la deficiencia de vitamina D puede aumentar el riesgo de sufrir la enfermedad.